×

Doppler Colorido

Doppler Colorido

Doppler Colorido

O Ecodoppler é um exame não invasivo realizado através da ultrassonografia para verificar o fluxo sanguíneo nas artérias e veias.

Destinado para o exame dos vasos o Ecodoppler pode ser realizado em diversas regiões para verificar a presença de diferentes enfermidades. Alguns exemplos são:

  • Ecodoppler venosos dos membros inferiores: com esse exame é possível analisar mudanças no fluxo venoso. Dentre as principais, estão a insuficiência venosa crônica, conhecida popularmente como varizes, e a trombose venosa profunda.
  • Ecodoppler arterial dos membros inferiores: como o nome sugere, ele é destinado para a análise das artérias presentes nas pernas. Algumas doenças que podem ser diagnosticadas a partir dele são as calcificações vasculares, a presença de placas de ateroma e a DAP (doença arterial periférica).
  • Ecodoppler cervical: estudo das artérias carótidas e vertebrais. A partir desse exame, é possível verificar a existência de placas de ateroma e estenoses vasculares.
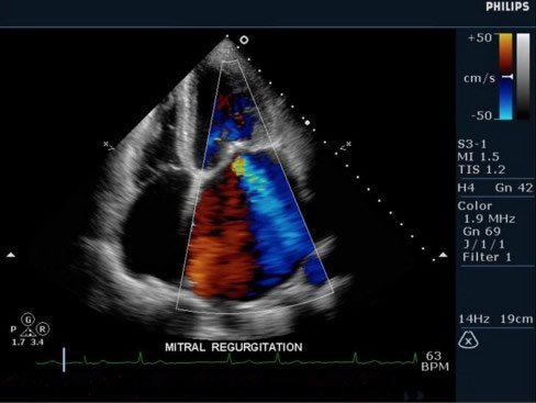
  • Ecodoppler cardíaco: Com ele, o especialista pode analisar o fluxo intracardíaco, sendo essencial para diagnosticar doenças valvulares.
  • Ecodoppler visceral: este exame é realizado na região abdominal e analisa doenças no fígado ou nos rins.
  • Ecodoppler testicular: é possível verificar mudanças no fluxo testicular, que podem ser ocasionadas por uma inflamação ou por uma torção.
  • Ecodoppler obstétrico: fundamental durante o pré-natal, esse exame é usado para estudar os vasos sanguíneos do feto.
  • Ecodoppler transcraniano: é usada para analisar as artérias cerebrais.

​​

Com o paciente deitado, o médico passa um gel pela região que será examinada, para que o aparelho possa deslizar melhor. Esse exame pode durar entre 10 e 60 minutos. Ele não causa dor, pode ser refeito quantas vezes forem necessárias e oferece detalhes preciso para o profissional.

Depois da realização do exame, o médico especialista emite um relatório a partir das imagens capturadas. Tanto o relatório, quanto as imagens serão disponibilizadas para o médico e para o paciente.

A principal vantagem do Ecodoppler é seu custo benefício. Afinal, além de ser altamente eficaz, mostrando imagens detalhadas, ele também é acessível. Sem falar que é indolor e não invasivo, sendo dispensável o uso de agulhas, radiações e substâncias de contraste.

Por ser um exame não invasivo e indolor, ele não possui contraindicações. Sendo assim, pode ser realizado em pessoas de todas as faixas etárias, sendo indicado também para gestantes.

 

PREPARO PARA O EXAME:

Esse exame só exige preparação se for realizado na região abdominal. Sendo preciso, nesse caso, que a Eco seja feita com o paciente em jejum. Nos demais locais, não é necessário qualquer tipo de preparação.

Para mais informações contate-nos (54) 3232 7933